Une tragique histoire : une femme de 35 ans perd la vie suite à un cancer non diagnostiqué à temps
Découvrez le récit bouleversant d'une mère de famille de 35 ans confrontée à un diagnostic tardif de cancer en phase terminale, mettant en lumière l'importance cruciale de reconnaître les signes avant-coureurs de la maladie.
Les Signes Cruciaux du Diagnostic du Cancer
-
Un Indice Essentiel Souvent Négligé : l’Anémie
Tout a débuté de façon anodine : lors d’une séance de don de sang, Sian découvre qu’elle est anémiée. Bien que cela puisse sembler sans gravité, elle se voit prescrire un traitement au fer pour traiter cette carence. Cependant, une anémie persistante peut être le symptôme d’un problème plus sérieux en arrière-plan. Dans son cas, c’était un avertissement : son foie était affecté sans qu’elle le sache.
-
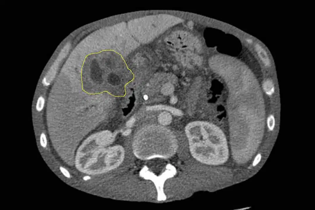
Les Douleurs Abdominales : un Symptôme Déceptif
Quelques mois plus tard, un autre signe apparaît : des douleurs abdominales. Comme beaucoup, elle pense à une simple intoxication alimentaire ou à un trouble digestif passager. Cependant, ces douleurs persistent. Après plusieurs consultations, on lui diagnostique initialement des calculs biliaires et un stent est inséré dans son canal biliaire. Ce n’est que plus tard qu’une lésion hépatique est découverte. Malheureusement, il était déjà trop tard.
Un Diagnostic Malheureusement Tardif
Ce n’est qu’en janvier 2024 que Sian reçoit la terrible nouvelle : elle est atteinte d’un cholangiocarcinome, un cancer des voies biliaires, à un stade avancé. Son pronostic est sans espoir : il ne lui reste que peu de temps à vivre. Malgré tout, seulement 18 jours plus tard, elle s’éteint.
Sa famille, profondément bouleversée, souhaite sensibiliser sur cette maladie insidieuse. Sa mère, Sue Dowling, raconte : « Elle était de plus en plus affaiblie, elle consultait régulièrement son médecin, passait du temps à l’hôpital, mais le diagnostic est arrivé trop tard. »
Pourquoi la Détection de ce Cancer est si Complexe ?
Le cholangiocarcinome est un cancer rare mais agressif qui se forme dans les canaux biliaires reliant le foie à l’intestin. Il est souvent diagnostiqué à un stade avancé en raison de symptômes trompeurs et peu spécifiques :
- Fatigue et anémie inexpliquées
- Douleurs abdominales diffuses souvent confondues avec des troubles digestifs mineurs
- Jaunisse (coloration jaune des yeux et de la peau) dans les stades avancés
- Démangeaisons intenses sans cause évidente
- Perte d’appétit et amaigrissement progressif
Un Test Simple qui Peut Faire la Différence
Comme le souligne Helen Morement, directrice de l’association AMMF, de nombreux patients ne correspondent pas au profil habituel du cancer du foie, ce qui retarde le diagnostic. Pourtant, une analyse hépatique basique (une prise de sang pour évaluer les enzymes hépatiques) peut aider à repérer une anomalie.
En cas de symptômes persistants, même légers, et en l’absence d’amélioration après un traitement standard, il est essentiel de demander un bilan hépatique. C’est une étape simple mais cruciale pour un diagnostic précoce et une meilleure chance de survie.
Un Appel à la Prudence
L’histoire de Sian nous rappelle une vérité essentielle : écouter son corps et ne pas minimiser des symptômes persistants. Une anémie inexpliquée, des douleurs persistantes, une fatigue inhabituelle… Chaque signal doit être pris au sérieux. Une détection précoce peut faire toute la différence.
Sian était décrite par ses proches comme une femme « d’une bravoure exceptionnelle » qui, jusqu’au bout, a gardé son sourire et pensé à sa famille. Aujourd’hui, son histoire doit servir à sensibiliser. Parce que chaque instant compte, il ne faut jamais hésiter à consulter.



